11 年
手机商铺
公司新闻/正文
425 人阅读发布时间:2025-07-03 14:27
冠状动脉旁路移植术(coronary artery bypass grafting,CABG)手术,也是大家常说的心脏搭桥手术,是阻塞性冠状动脉疾病患者的金标准治疗方法。CABG手术中最常用的导管是静脉移植物(VG),用于搭建新的血流通道。由于移植物闭塞,40-50%的接受治疗的患者在手术后10年内失败。这种VG狭窄和闭塞的特征是移植后1-12个月内出现新内膜增生,随着时间推移最终发展为动脉粥样硬化。研究发现,静脉移植物在术后会受到动脉高压的影响,这种压力变化是导致新内膜增生的重要因素。从机制上讲,VG血管平滑肌细胞(VSMC)受到高幅度的周期性拉伸已被证明会促进VSMC的增殖和迁移,进而引起血管的不良重塑。然而,目前对于参与VSMC功能和行为机械调节的关键分子和途径仍然知之甚少。
2025年,北京第三医院研究团队在期刊Advanced Science(IF=14.3)上发表了题为 “Mechanical Activation of cPLA2 Impedes Fatty Acid β-Oxidation in Vein Grafts” 的研究文章。本文提出cPLA2/YY1/CPT1B轴在VSMC对机械力和静脉移植新内膜增生的反应中起关键作用,同时也表明针对该轴的治疗可能是预防或治疗静脉移植失败的可行策略。

技术路线图

研究结果
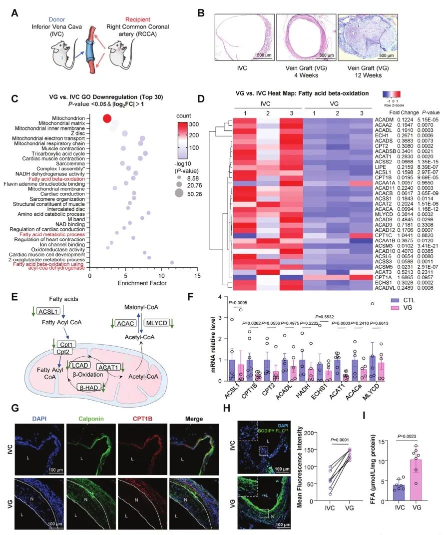
1.FAO和CPT1B在静脉移植物VSMCs中的表达受抑制
通过构建小鼠静脉移植物模型,类比人类冠状动脉旁路移植术。RNA测序发现,与自体对照下腔静脉(IVC)相比,静脉移植物(VG)中脂肪酸β- 氧化(FAO)相关基因表达下调,尤其是CPT1B(肉碱棕榈酰转移酶1B)。免疫荧光表明,CPT1B蛋白在VG内膜层表达低于中膜层和IVC。酶联免疫吸附测定血管组织匀浆中的长链游离脂肪酸(FFA)含量,显示与IVC相比,VG中的FFA含量显着更高。

图1. FAO和CPT1B在静脉移植物VSMCs中的表达受抑制
2.高幅度循环牵张阻碍FAO并促进VSMCs增殖迁移
通过对培养的VSMC细胞进行循环拉伸实验来评估动脉机械环境对细胞脂肪酸代谢的影响,有15%循环应变和1Hz频率的单轴循环拉伸来模拟动脉机械条件,并使用具有5%循环应变和1Hz频率的单轴循环拉伸来模拟静脉机械条件。脂质组学结果表明,与低于5%拉伸的VSMC相比,15%拉伸下的VSMC中的长链脂肪酸水平显著增加,且KEGG通路分析表明脂肪酸降解等途径受到影响。

图2. 高强度的循环拉伸阻碍了FAO促进VSMC的增殖和迁移
3.高幅度循环拉伸激活核机械传感器cPLA2
运用荧光共振能量转移(FRET)-基于LaminA/C磷酸化传感器(LAPS)技术,转染细胞同时可视化核膜张力和cPLA2激活,创建cPLA2突变体降低膜亲和力,利用活细胞荧光成像观察。结果显示,在低渗处理和15%拉伸条件下,VSMCs核膜张力增加,cPLA2向核膜转位,花生四烯酸(ArAc)生成增多;突变体抑制cPLA2激活,干扰Lamin A/C表达增强cPLA2激活,表明高幅度循环牵张通过增加核膜张力激活cPLA2。

图3. 高幅度的循环拉伸激活核机械传感器cPLA2
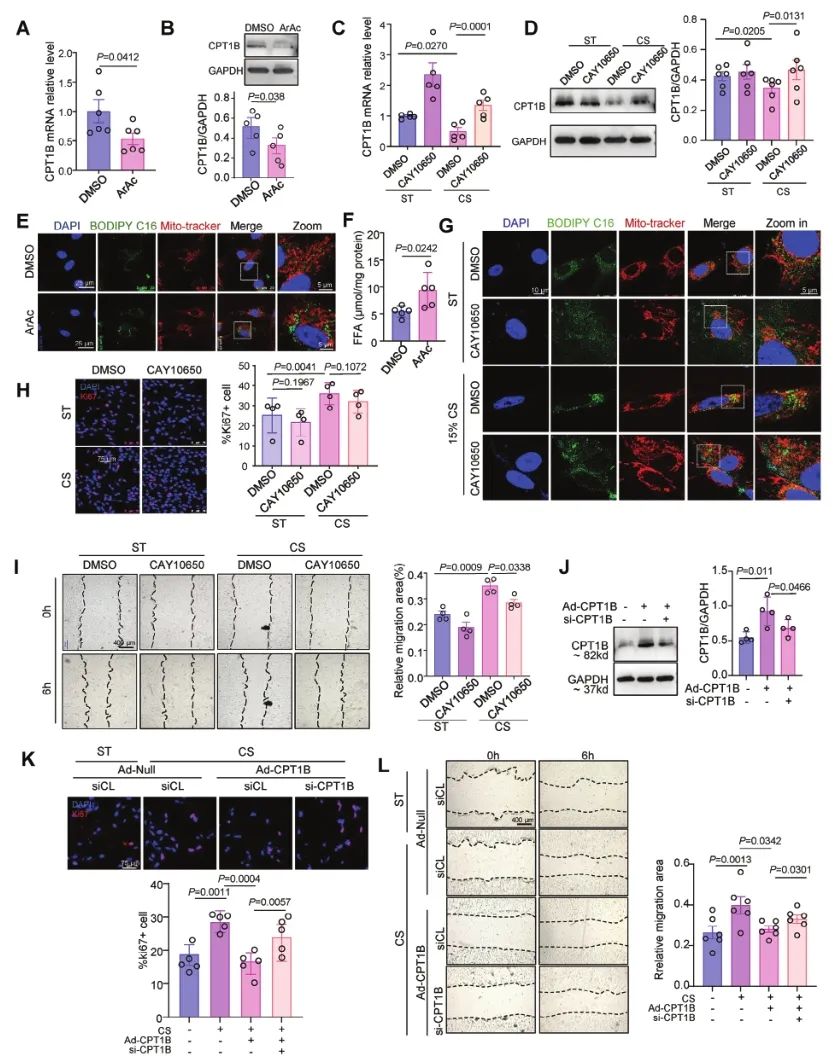
4.核机械传感器cPLA2介导CPT1B表达和FAO响应高幅度循环拉伸的下调
通过RT-qPCR和蛋白质免疫印迹分析发现,ArAc降低CPT1B的mRNA和蛋白水平。Ki67染色和划痕等实验表明,cPLA2抑制剂减轻了减轻15%拉伸导致的CPT1B下调和脂肪酸积累,抑制cPLA2减弱拉伸诱导的细胞增殖迁移。CPT1B过表达和敲低实验进一步证实其在细胞增殖迁移中的作用,说明cPLA2介导高幅度循环牵张下CPT1B表达下调、FAO受损及细胞异常增殖迁移。

图4. 核机械传感器cPLA2介导CPT1B表达和FAO响应高幅度循环拉伸的下调
5.cPLA2激活通过作用于转录因子YY1下调CPT1B表达
通过染色质免疫沉淀(ChIP)、RT-PCR、Western blotting等实验验证,YY1是调控CPT1B的关键转录因子,ArAc抑制YY1转录活性,通过蛋白酶体途径促进其降解。突变体证实YY1与ArAc相互作用影响其泛素化和CPT1B表达,说明cPLA2激活通过作用于YY1下调CPT1B表达。

图5. cPLA2激活通过作用于转录因子YY1来下调CPT1B表达
6. FAO不足增加核膜张力,协调cPLA2的激活
使用LAPS生物传感器发现,CPT1B或YY1的敲低以及依托莫西对FAO的抑制增加了核膜张力。脂质组学分析表明,依托莫西处理导致细胞核中长链脂肪酸的富集,包括亚油酸(FA18:2)、油酸(FA18:1)和ArAc(FA20:4)。

图6. FAO不足会增加核膜张力,协调cPLA2的激活
7.干扰cPLA2-CPT1B轴可减轻VGs中的VSMC增殖和新内膜形成
形态学分析表明,与用DMSO处理的VG相比,用cPLA2抑制剂处理的VG的新内膜面积减少。免疫荧光分析显示,与DMSO孵育相比,与CAY10650抑制剂孵育增加了钙调蛋白标记的VSMC中CPT1B的表达,并减少了VG中Ki67阳性增殖细胞的数量。

图7. 干扰cPLA2-CPT1B轴可减轻VG中的VSMC增殖和新内膜形成
研究小结
CABG手术是治疗复杂多支冠状动脉疾病和/或左主干疾病患者的金标准。然而,VG再狭窄、长期移植物低通畅仍然是CABG术后尚未解决的问题。本研究确定了VG再狭窄的潜在机制,证明机械感觉cPLA2响应动脉机械拉伸诱导FAO缺陷。同时,高幅度的循环拉伸激活cPLA2,导致ArAc的产生。ArAc促进转录因子YY1的泛素化和降解,从而抑制CPT1B表达。这种对CPT1B表达和FAO水平的抑制促进了VSMC和新内膜增生的增殖和迁移。本研究表明,靶向cPLA2-CPT1B通路可能是防止新内膜形成和提高VG通畅性的潜在干预措施。
参考文献
Fan L, et al. Mechanical Activation of cPLA2 Impedes Fatty Acid β-Oxidation in Vein Grafts. Adv Sci. 2025.
绘谱帮你测
麦特绘谱开创性地搭建了医学领域高端代谢组学技术平台,覆盖了非靶向-全定量-代谢流等全方位的高端医学代谢组解决方案,同时全面布局微生物组学、转录组学和蛋白质组学等多组学技术服务,已成为全球多组学研究者的优选合作伙伴。麦特绘谱拥有QL1000、Q1000、Q500、Q300、Q200和胆汁酸、短链脂肪酸、色氨酸及吲哚衍生物、多胺和TMAO类等各类小分子代谢物、非靶向代谢组学和同位素示踪代谢流技术等共40+系列检测方法;已为数百家三甲医院、科研院所和企业提供多组学解决方案,协助客户与合作伙伴发表SCI文章600+篇,累计影响因子6000+,平均IF>10,包括Cell, Science, Nature, Cancer Cell, Signal Trans-duction and Targeted Therapy, Nature Biotechnology, Cell Metabolism等权威期刊。